联系电话
0538-3790245
首页
医院环境
梁氏膏药
科室风采
传统优势
正骨案例
院内新闻
健康教育
正骨案例
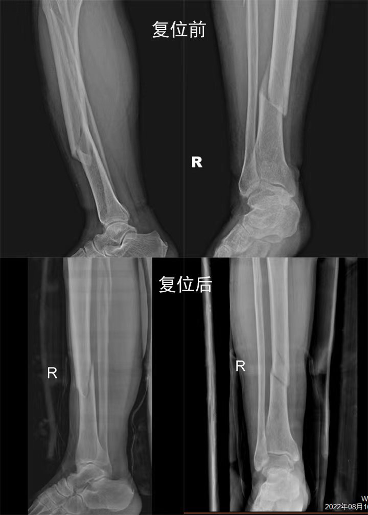
梁氏正骨-梁光兴正骨案例
梁氏正骨-梁光兴正骨案例
梁氏正骨-梁光兴正骨案例
梁氏正骨-梁光兴正骨案例
梁氏正骨-梁光兴正骨案例
梁氏正骨-杨乐正骨案例
梁氏正骨-杨乐正骨案例
梁氏正骨-梁俊超正骨案例
梁氏正骨-梁俊超正骨案例
梁氏正骨-梁国利正骨案例
梁氏正骨-梁国利正骨案例
梁氏正骨-梁国利正骨案例
下一页
1
2
上一页
联系我们
联系电话:0538-3790245
联系地址:山东省肥城市安驾庄镇健康路026号